商务合作:2519330936@

一、基础知识
Couinaud分段法将肝脏分为8段,段的编号依据顺时针进行,门静脉分支分布于肝段内,而肝静脉位于肝段间,每段功能上是独立的,有独立的血液、胆汁引流道。每段的中心是门静脉、肝动脉和胆管,周围是血液流出的肝静脉。
尾状叶为Ⅰ段
左外上、下叶为Ⅱ、Ⅲ段
左内叶为Ⅳ段(Bismuth分类法,第4段又分为4a和4b段)
右前叶上、下为Ⅴ、Ⅷ段
右后叶上、下为Ⅵ、Ⅶ段

门静脉将肝分为上、下部分,门静脉左右支发出上、下分支分别进入每段的中心。
肝中静脉:将肝脏分为左叶和右叶。
肝左静脉:将肝左叶分为内侧段(II、III)和外侧段(IV)。
肝右静脉:将肝脏分为右前段(V、VIII)和右后段(VI、VII)。
各段按顺时针方向排列,I段(尾状叶)在后方。

上方的图为肝分段示意图,下图为实际正面观察,后方的VI段和VII段被遮挡。Cantlie’s线是指胆囊窝前方中点与下腔静脉的连线,将肝脏分为左半肝和右半肝。右半肝可见V和VIII段,IV段更靠近右侧,尽管它属于左半肝。

二、横断面解剖图示
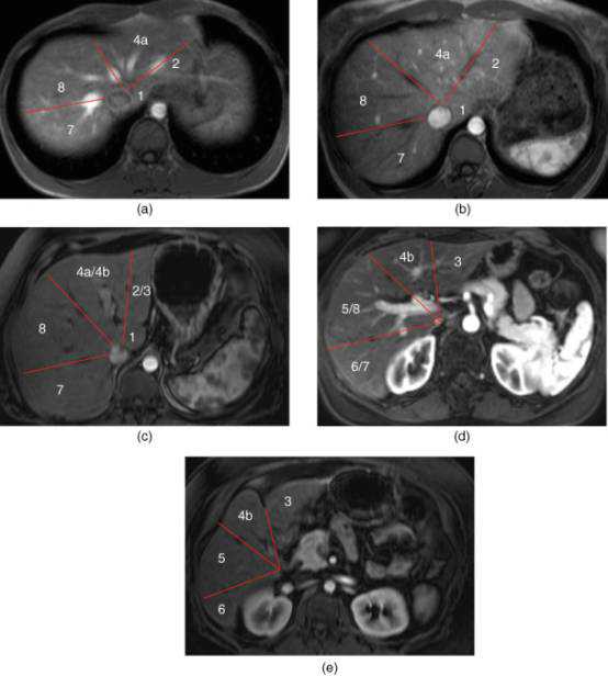
(1)肝上部水平:由肝中静脉、肝右静脉、镰状韧带分段。

(2)门静脉左支水平:门静脉左支将肝分为上下部分,上方II和Iva,下方III和IVb。门静脉左支比右支位置高。

(3)门静脉右支水平:该水平门静脉右支将肝右叶分为上部(VII和VIII)和下部(V和VI)。

(4)脾静脉水平:脾静脉较门静脉右支低。可见III、IVb、V、VI段。

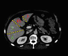
CT轴位分段
肝左右叶(IV段与V、VIII段)分界:沿胆囊窝上方肝中静脉至下腔静脉(下图红线)。
肝左叶(内侧II、III段与外侧IV段)分界:沿镰状韧带和肝左静脉、肝中静脉汇合处下腔静脉连线(下图蓝线)。
肝右叶(前侧V/VIII段与后侧VI/VII段)分界:沿下腔静脉下方肝右静脉至肝脏边缘(下图绿线)。
尾状叶:尾状叶(I段)在后方,尾状叶与其他叶不同的是,它经常经静脉直接与下腔静脉,而不通过肝静脉主干,也有可能同时接受门静脉左右支的血供。(下图C)
简单记忆方法:
上:7842
下:6543
MRT1及增强扫描动脉期图像:
三、肝脏手术:
(切除部分蓝色标记,均可包含或不含I段)
参考文献:
[1]
[2]
[3]:MRIwithCTCorrelation[J].2015.
【版权声明】本平台属公益学习平台,转载系出于传递更多学习信息之目的,且已标明作者和出处,如不希望被传播的老师可与我们联系删除。